
Transfer embrio dengan bantuan USG (Ultrasound guided embryo transfer) sesuai untuk wanita yang sulit hamil karena tingkat keberhasilan pembuahan di dalam rahimnya rendah. Teknologi ini sudah ada sejak tahun 2006.
Dalam proses ini, embrio dipindahkan ke dalam rahim dengan bantuan kateter. Karena dipantau menggunakan USG, penempatan embrio dapat diatur agar peluang terjadi kehamilan lebih besar.
Untuk melihat Maximum Implantation Potential (MIP point) untuk menempatkan embrio pada titik terbaik di dalam rahim, simaklah video berikut:
Hamil dan memiliki anak merupakan suatu hal yang dinginkan oleh kebanyakan orang tua di dunia ini. Akan tetapi, banyak dari perempuan tersebut yang belum beruntung dapat hamil dengan cepat. Namun, sejak tahun 2006 lalu telah ada teknik transfer eukariota diploid multisel atau biasa disebut embrio dengan bantuan metode maximum implantation potential. Seperti pada sebuah video yang menanyangkan tentang proses transfer tersebut, Anda bisa menyimak ulasannya di sini.
Mengapa Dilakukan Transfer Eukariota Diploid Multisel?
Banyak kasus yang terjadi pada para wanita yakni, susah mendapatkan keturunan. Hal tersebut biasanya disebabkan oleh beberapa faktor, termasuk karena keadaan rahim yang tidak bisa mendukung adanya pembuahan. Bahkan ada kasus dimana banyak ibu yang memiliki tingkat keberhasilan pembuahan yang kecil. Oleh karena itu, munculah istilah transfer calon bayi agar calon ibu tersebut bisa membuahi di dalam rahim.
‘
Sehingga sejak dari 2006 lalu banyak yang menggunakan transfer calon bayi ini agar bisa mendapatkan anak. Transfer eukariota diploid multisel tersebut dapat dilakukan dengan metode Maximum Implantation Potential (MIP) dengan menentukan titik MIP yang berada di rongga rahim. Berdasarkan dari banyaknya ibu yang berhasil melakukan transfer eukariota diploid multisel tersebut, tingkat keberhasilan pembuahan menjadi meningkat.
Transfer Eukariota Diploid Multisel Dengan Metode Maximum Implantation Potential
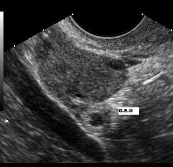
Metode ini memiliki peranan untuk mensukseskan transfer calon bayi dan juga meningkatkan persentase terjadinya kehamilan. Pada metode ini dokter bisa melakukan transfer bayi yang letaknya pada bagian rongga tengah rahim. Letak tersebut bernama MIP point, dimana tempat strategis untuk diletakkannya calon bayi sehingga bisa terjadi proses pembuahan seperti pada pembuahan natural. Dimana tempat strategis tersebut dapat divisualisasikan memalui bantuan USG 3D atau 4D.
Tujuan dari metode Maximum Implantation Potential atau MIP yakni bisa menirukan proses pembuahan di dalam rahim secara alami. Dimana biasanya pembuahan tersebut terjadi di bagian rongga rahim yang berbentuk segitiga. Pada beberapa kehamilan, proses implantasi biasanya terjadi bagian yang spesifik dalam rahim. Bagian rongga rahim tersebut, biasanya bagian atasnya sebagai penghubung untuk ke ovarium.

Biasanya posisi yang baik sebagai titik maximum implantation potential bergantung dengan bentuk dari rongga rahim itu sendiri. Biasanya wanita memiliki rongga rahim normal dan yang tidak normal, sehingga letak MIP point pada beberapa kandungan juga berbeda satu dengan yang lainnya. Oleh karena itu, Ultrasonography 3D ataupun 4D sangat diperlukan pada proses menemukan MIP Point ini.
Proses Maximum Implantation Potential dengan Bantuan USG
Dapat dilihat dari sebuah video, proses dalam menempatkan titik potensional dalam metode Maximum Implantation Potential atau sering disebut dengan MIP point ini dapat dilakukan dengan bantuan 3D ataupun 4D Ultrasonography. Alat USG yang biasanya digunakan untuk memeriksa perkembangan janin dalam kandungan tersebut, memiliki peran yang penting pada menentukan titik yang tepat pada metode ini.
USG tersebut berguna untuk menentukan letak yang memiliki potensi yang baik sebagai tempat calon bayi di dalam kandungan pada proses transfer eukariota diploid multisel. Biasanya dengan bantuan ultrasonography, dokter bisa membuat dua garis imajiner untuk menemukan tempat yang sesuai dengan bentuk rahim sang calon ibu tersebut. Dimana dua garis tersebut jika bertemu menjadi MIP poin dan di MIP point tersebut adalah posisi yang tepat untuk menempatkan calon bayi.

Saat dokter Anda akan memasukkan kateter ke dalam rahim melalui leher rahim, dari layar USG dapat melihat pergerakan kateter menuju MIP point. Setelah kateter tersebut mencapai MIP point, kemudian dia akan melepaskan calon bayi tersebut di bagian rongga rahim tersebut. TAnda jika calon bayi telah berada di dalam rahim, akan terlihat sebuah cahaya dari layar ultrasonography. Setelah embrio tersebut di letakkan, kateter kemudian dapat ditarik keluar.
Banyak cara yang dilakukan oleh orang tua untuk medapatkan anak, salah satu caranya yaitu dengan proses transfer calon bayi ke dalam kandungan. Dimana proses tersebut dapat dilakukan dengan metode maximum implantation potential yang dibantu oleh alat ultrasonography 3D ataupun 4D. Dimana alat USG tersebut berfungsi untuk menentukan letak yang tepat untuk menempatkan eukariota diploid multisel.
Parenting bikin pusing? Yuk tanya langsung dan dapatkan jawabannya dari sesama Parents dan juga expert di app theAsianparent! Tersedia di iOS dan Android.