Pada umumnya jumlah gigi yang di miliki setiap orang adalah 20 buah saat masih anak-anak. Sedangkan saat remaja hingga dewasa jumlah gigi yang dimiliki adalah 32 buah, yang terdiri dari 16 gigi di rahang atas dan 16 gigi di rahang bawah. Tetapi keanehan terjadi pada bocah laki-laki asal Cebu, Filipin yang bernama Johncris Carl Quirante karena memiliki 300 gigi dalam mulutnya yang juga disebut hyperdontia.
Kejadian bermula saat berusia 2 tahun bocah ini memiliki 50 buah gigi. Saat itu barulah orang tua JohnCris mengetahui bahwa putranya menderita hyperdontia. Kondisi ekonomi menyebabkan orang tuanya tidak segera memberikan perawatan pada gigi anak laki-lakinya tersebut.
Bocah ini sampai saat sekarang sudah menjalani operasi untuk mengambil 40 giginya.
Untuk bisa mempunyai jumlah gigi normal setidaknya bocah ini harus menjalani operasi sebanyak 7 kali. Operasi dilakukan bertahap untuk meminimalkan resiko serta trauma operasi yang bisa dialami jika dilakukan pengambilan sekaligus.
Kondisi gigi yang sangat berlebih tersebut tidak membuat Johncris merasa terganggu aktivitas nya. Hal ini terbukti dia tetap bisa bermain dan bersekolah bersama guru dan teman-temannya. Bahkan dia mampu menjadi salah satu siswa unggulan di kelasnya.
Apa itu Hyperdontia
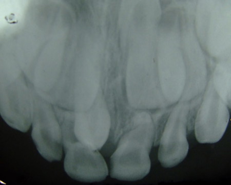
Hyperdontia adalah kondisi seseorang mempunyai jumlah gigi yang lebih banyak daripada jumlah yang normal. Gigi-gigi tambahan biasa disebut supernumary teeth tersebut bisa muncul di mana saja termasuk di langit-langit mulut.
Para penderita hyperdontia biasanya juga memiliki kondisi lain sepeti bibir sumbing atau Sindrom Gardner . Sindrom Gardner adalah kelainan genetik yang ditandai dengan adanya polip di jaringan lunak seperti mulut dan gusi.
Penyebabkan terjadinya hyperdontia masih belum diketahui secara pasti. Tetapi faktor genetik diduga menjadi penyebab utamanya.
Biasanya dilakukan operasi pengangkatan gigi sampai mencapai jumlah gigi yang normal. Selanjutnya penderita akan menjalani perawatan orthodonsi untuk mendapatkan bentuk gigi yang pas untung menggigit dan mengunyah.
Parents, semoga informasi di atas menambah pengetahuan kita.
Pada umumnya, gigi normal pada saat remaja hingga dewasa berjumlah 32 buah. Yang terdiri atas 16 gigi rahang atas dan 16 gigi rahang bawah. Sedangkan untuk anak anak, biasanya memiliki 20 buah gigi. Namun bagaimana jika ada seorang anak yang gigi miliknya tidak berjumlah 20, melainkan 300 buah? Bukankah hal tersebut merupakan sebuah keanehan. Bagaimana hal tersebut bisa terjadi? Simak ulasannya disini.
Seorang Anak Berusia 9 Tahun Memiliki 300 Gigi
Seorang anak laki laki berusia 9 tahun dari Cebu, Filipina menderita kelainan aneh yang terjadi pada giginya. Dimana anak yang bernama Johncris Carl Quirante tersebut, memiliki gigi yang berjumlah 300 buah di dalam mulutnya. Kejadian tersebut bermula pada saat berusia 2 tahu, anak laki laki itu telah memiliki gigi sebanyak 50 buah. Namun karena kondisi ekonomi, menyebabkan orangtuanya tidak bisa memberikan perawatan gigi kepada anak tersebut.

Ternyata anak laki laki tersebut menderita kelainan gigi yang disebut hyperdontia. Namun meskipun begitu, kelebihan gigi yang dimilikinya tidak membuat Johncris merasa terganggu saat melakukan aktivitasnya. Hal tersebut terbukti dari ia yang masih bisa bermain dan juga bersekolah bersama teman temannya. Bahkan, Johncris mampu menjadi siswa yang berprestasi di kelasnya.
Perlu Melakukan 7 Kali Operasi
Namun kabarnya, Johncris telah menjalani operasi untuk mengangkat beberapa gigi yang berada di mulutnya. Pada operasi tersebut, para dokter telah berhasil mengambil 40 gigi milik Johncris. Untuk memiliki gigi yang normal, setidaknya Johncris memerlukan 7 kali operasi lagi. Operasi tersebut dilakukan bertahap untuk meminimalkan risiko dan juga trauma operasi yang bisa dialami olehnya, jika dilakukan pengambilan gigi sekaligus.

Mengenali Salah Satu Kelainan Gigi
Pernahkah Anda mendengar istilah hyperdontia? Istilah tersebut mengacu kepada kondisi seseorang, dimana memiliki jumlah gigi yang lebih banyak daripada jumlah normal. Gigi gigi tambahan yang tumbuh tersebut biasanya disebut supernumary teeth, yang mana bisa tumbuh dimana saja termasuk di langit langit mulut. Penderita kelainan tersebut, biasanya juga memiliki kondisi lain seperti bibir sumbing atau syndrom gardner.

Syndrom gardner merupakan kelainan genetik yang memiliki ciri terdapat polip di jaringan lunak seperti gusi dan mulut. Namun, penyebab dari terjadinya kelainan jumlah gigi tersebut, masih belum diketahui secara pasti. Akan tetapi faktor genetik diduga menjadi faktor utama penyebabnya. Biasanya untuk mengembalikan gigi dengan jumlah normal, penderita tersebut harus menjalani prosedur operasi.
Normalnya, anak anak akan memiliki jumlah gigi sebanyak 20 buah. Dan pada saat remaja hingga dewasa akan berjumlah 32 buah gigi. Namun, seorang anak laki laki mengalami kelainan aneh pada giginya. Dimana saat usia 9 tahun, ia memiliki gigi sebanyak 300 buah. Sehingga menyebabkan ia, harus menjalani operasi untuk mengangkat kelebihan giginya. Dengan adanya artikel ini, semoga bisa menambah informasi Anda.
Parenting bikin pusing? Yuk tanya langsung dan dapatkan jawabannya dari sesama Parents dan juga expert di app theAsianparent! Tersedia di iOS dan Android.